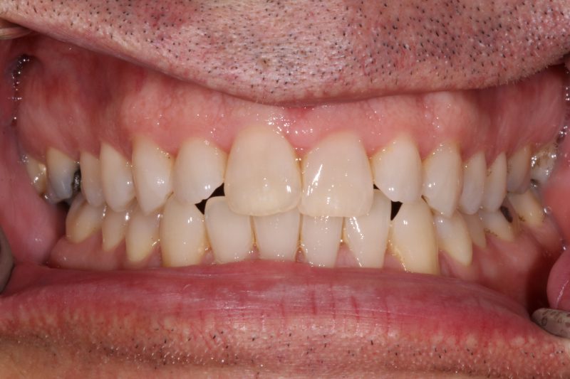
Invisalign and Fixed Braces
Explore some of the many invisalign and fixed braces cases we have completed. Most of our cases combine teeth straightening with other treatments, such as: Porcelain Veneers, Teeth Whitening, Dental Implants and more.
Invisalign & Teeth Whitening






6 months Invisalign & Teeth Whitening






Invisalign Lite & Teeth Whitening



Invisalign Lite



Invisalign Lite, Gum Contour, Composite Bonding and Teeth Whitening






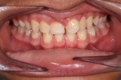
Invisalign Lite Dual Arch. Central Teeth Misalignment



Invisalign Lite, Composite Bonding and Teeth Whitening



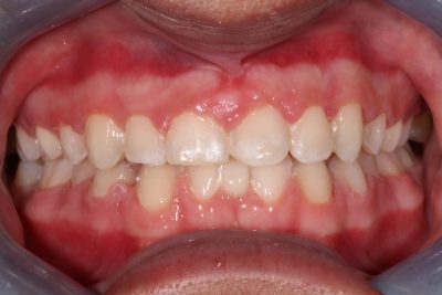
Upper Arch Invisalign to fix overcrowded teeth



Clear Dual Arch Aligners. Overcrowding and gaps were fixed in under 6 months






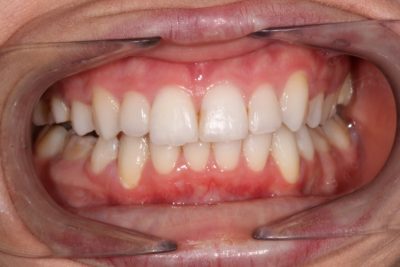
Invisalign top and bottom arch






Fixing gaps between teeth with Dual Arch Invisalign aligners






Fixing gaps between teeth with Dual Arch Invisalign aligners






Fixed Braces




Fixed Ceramic Braces and At Home Teeth Whitening




Fixed Braces












No matter what dental concern you have, we are here to help.
More before and after cases will be shown to you at the clinic. For regular updates follow our social media channels.