Transform Your Smile With Custom Porcelain Veneers and Crowns By Dr Aleem
Discover the art of Smile Design with Dr. Aleem, an expert in creating stunning, natural-looking smiles using advanced porcelain veneers and crowns. Experience non-cutting, minimal to no prep veneers, and the precision of Waterlase laser technology, preserving the integrity of your natural teeth. Dr. Aleem partners with Craig, a renowned AACD Master Ceramist based in California, ensuring exceptional results. Explore our signature TKC Smile Design treatment, tailored to transform your smile with a combination of full-mouth veneers, crowns, and customised treatments for an unforgettable smile makeover.
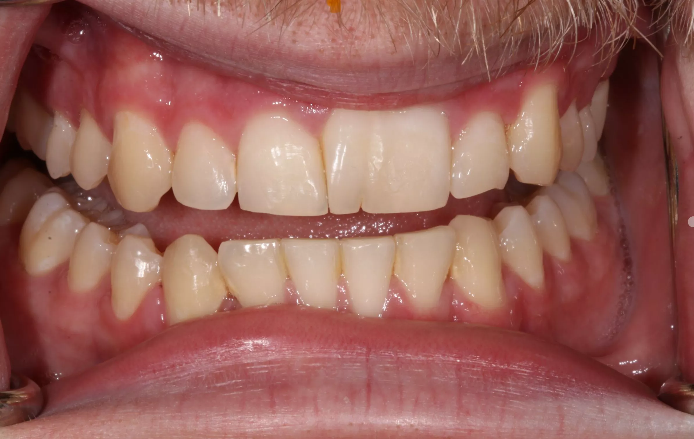
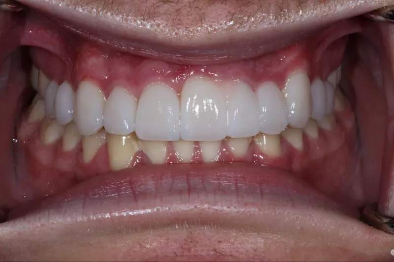
Replacing Old Veneers. Complete Smile Makeover with No Prep Veneers By Dr Aleem






No-Prep Porcelain Veneers In London | Full Smile Transformation Without Shaving Teeth and ZERO Damage






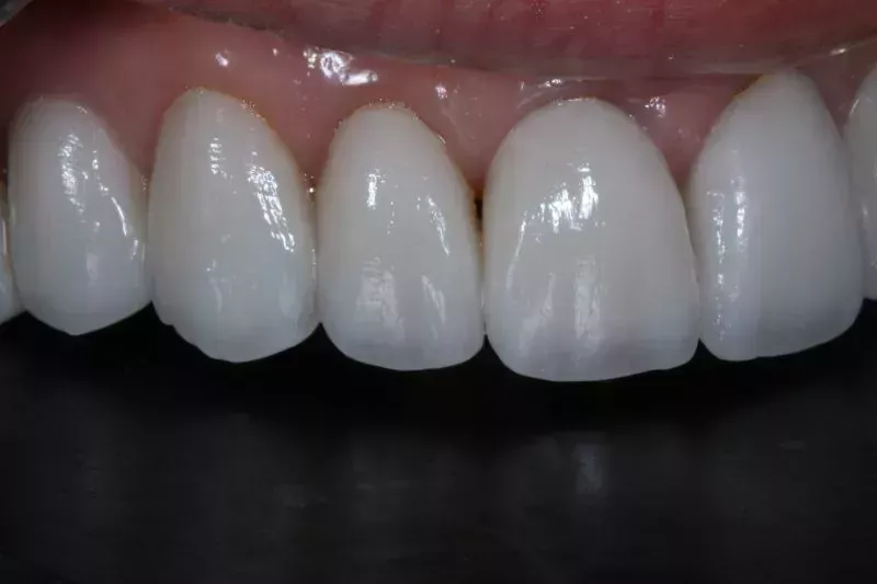
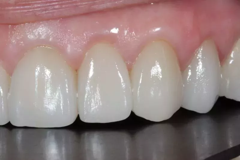
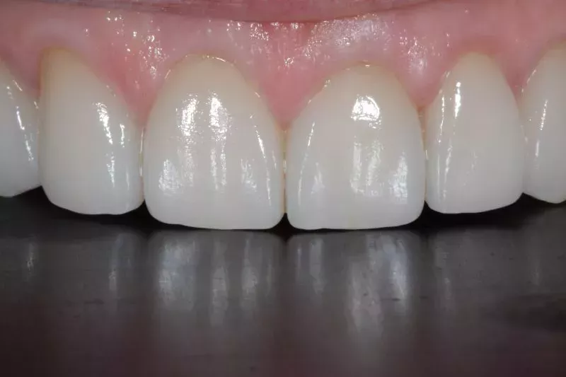
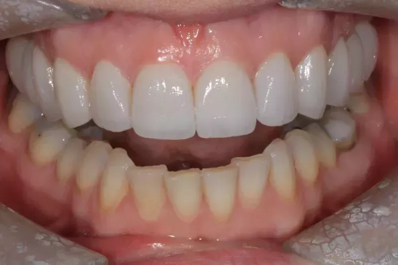
Full Upper Smile Design with No Prep Veneers .
Zero Damage to Natural teeth.






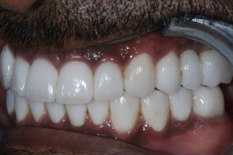
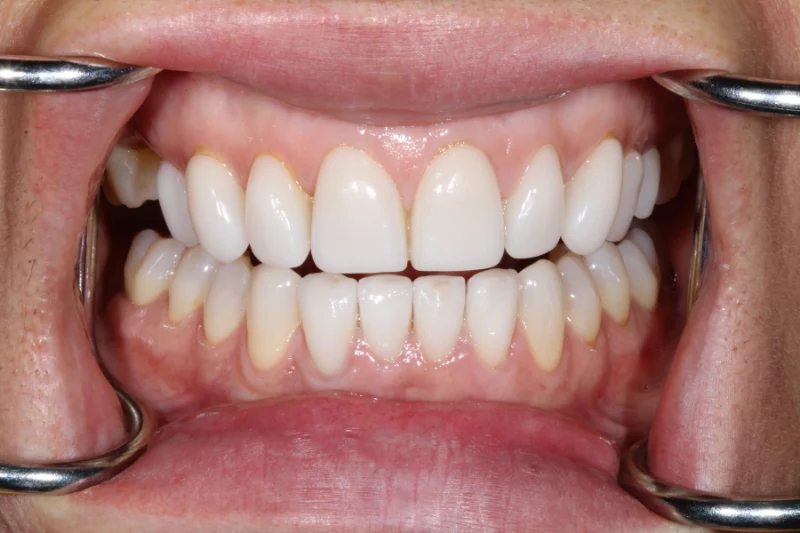
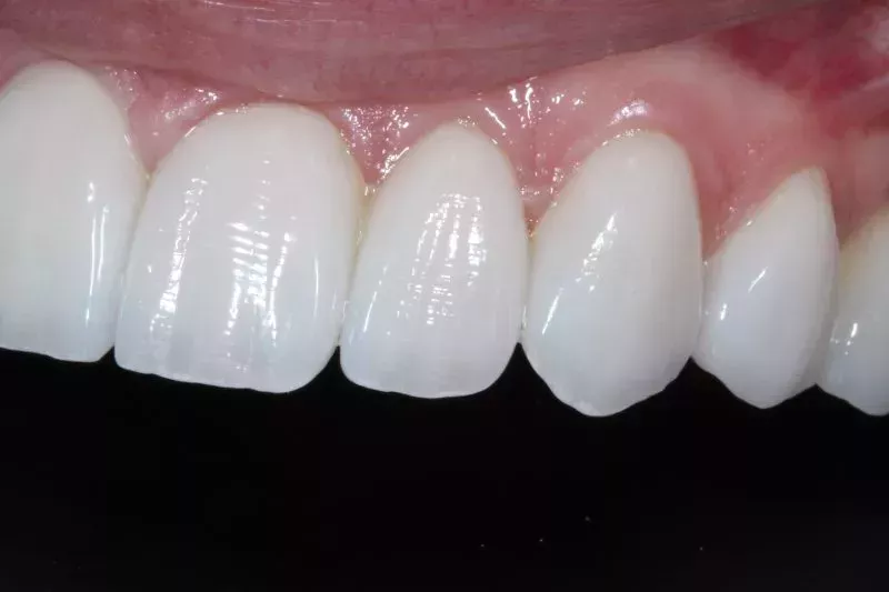
Upper and Lower Smile Design with No Prep Veneers By Dr Aleem






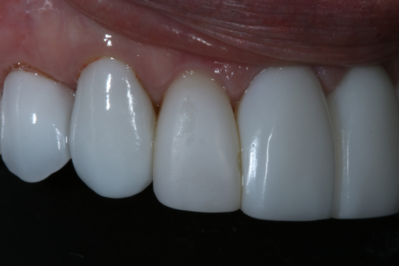
Upper Arch Transformation with No Damage Veneers






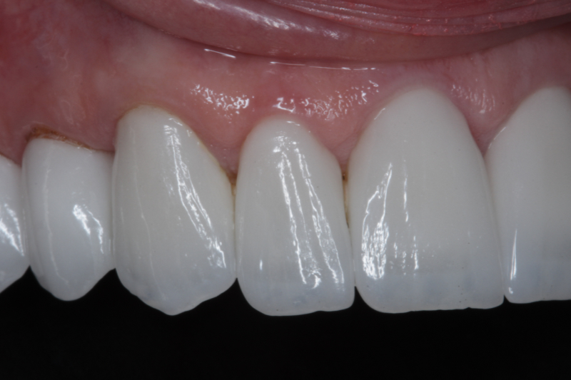
Full Upper Arch Non Prep Veneers






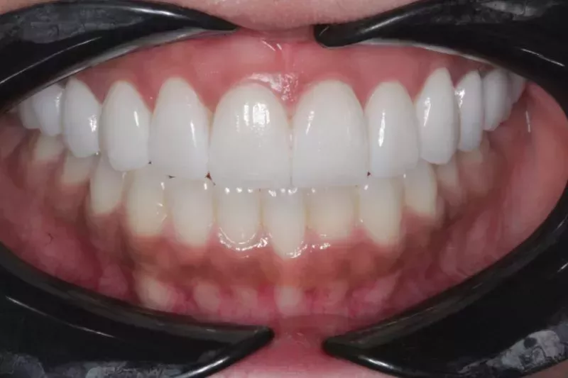
CUSTOM SMILE DESIGN WITH NO PREPARATION VENEERS






Upper Arch TKC Porcelain Veneers






Smile Design Transformation With No Preparation Veneers.






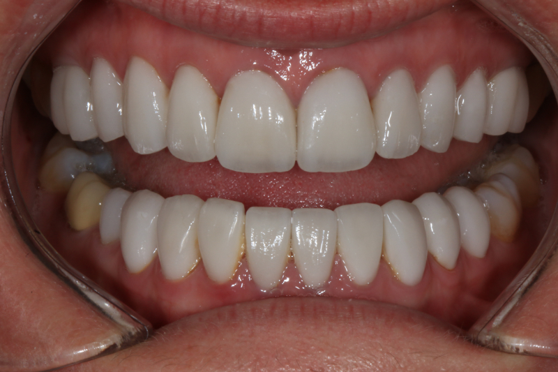
Smile Design. Full Mouth Non-cutting veneers.






Smile Design. Full Mouth Non-cutting veneers.







Full Upper Arch Non-cutting Veneers.






Closing the Gaps with Upper Arch Porcelain Veneers.






8 Upper Arch Porcelain Veneers.






Upper Arch Veneers and Teeth Straightening.




Zero Damage Upper Arch Veneers









Hand-made porcelain veneers



Zero Damage Veneers and Teeth Straightening.






Full Mouth Hand-Made Porcelain Veneers.









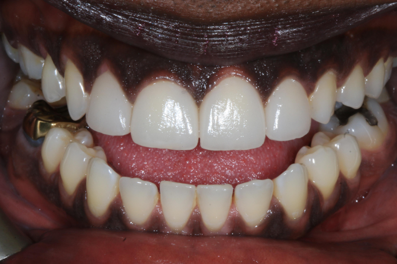
Replacing own crowns with new zero damage veneers. Total 8 units.










Zero damage Veneers.






Smile Design. Upper Arch Porcelain Veneers.






Non-cutting Porcelain Veneers.






10 upper arch porcelain veneers





Smile Design. Full Upper Arch Non-cutting veneers.






Smile Design. Full Upper Arch Non-cutting veneers and Gum Contour.







Zero Damage Porcelain Veneers.






Smile Design with 24 Non-cutting Porcelain Veneers




Smile Design. Full Arch Non-cutting Porcelain Veneers.



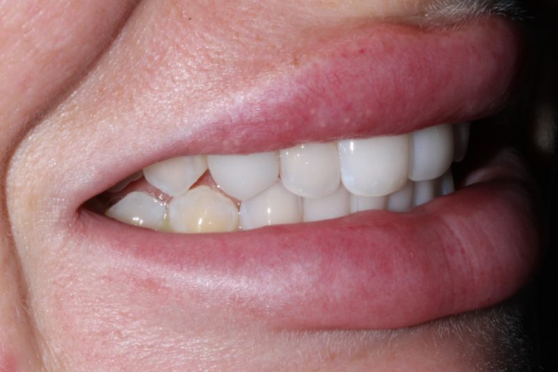
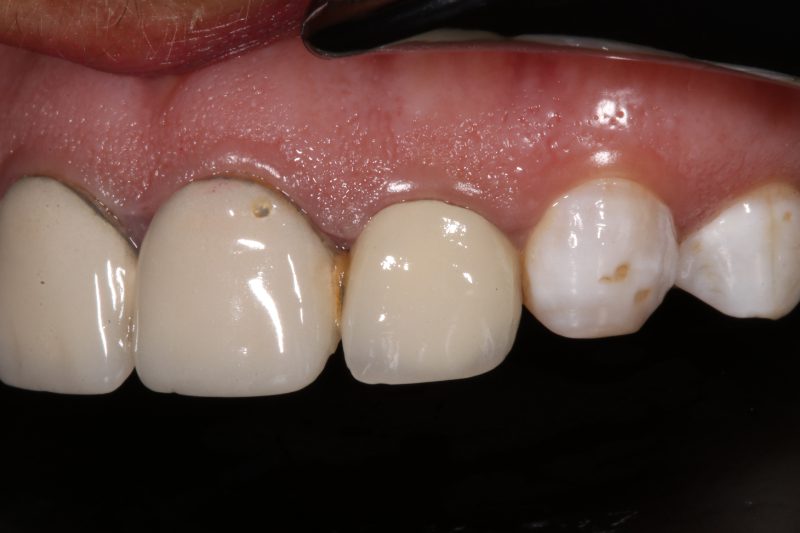
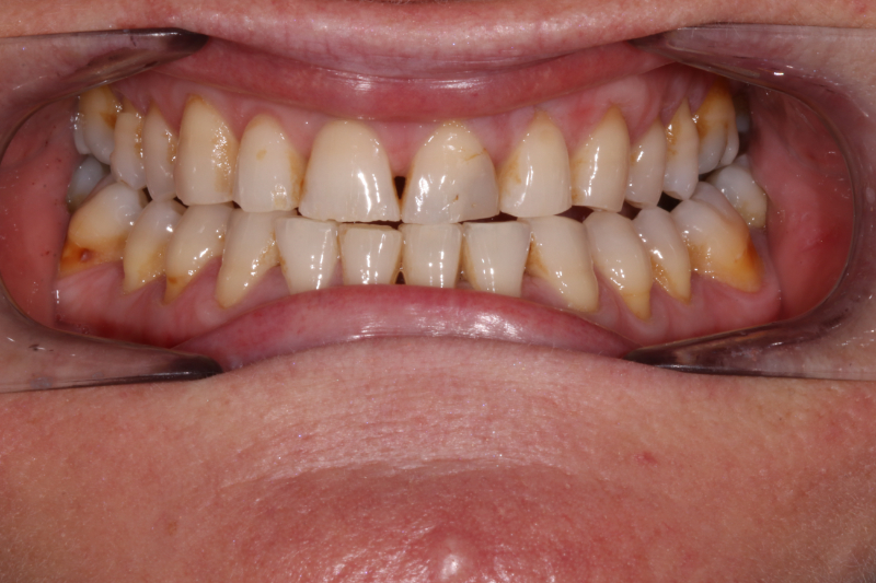
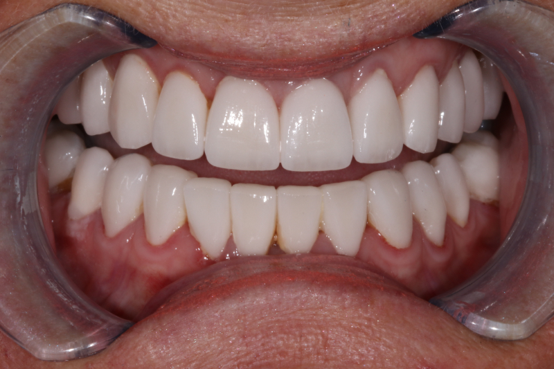
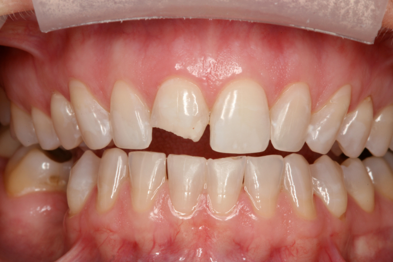
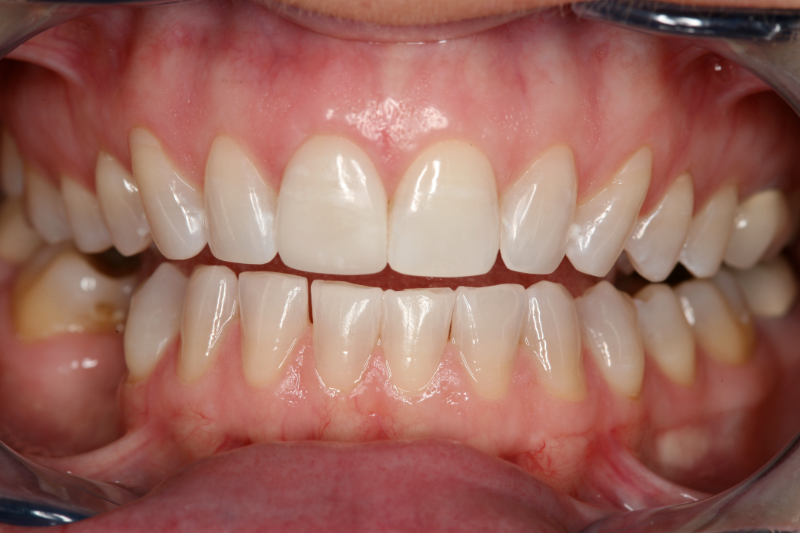
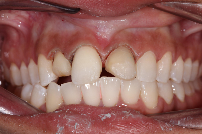
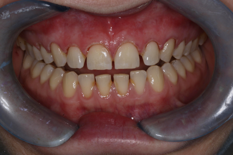
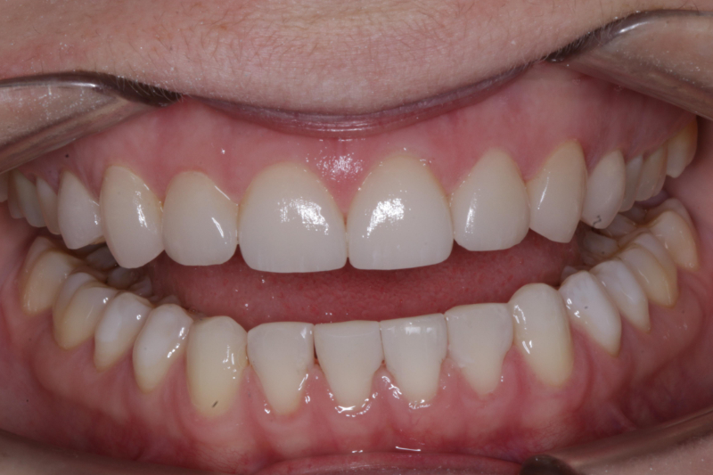
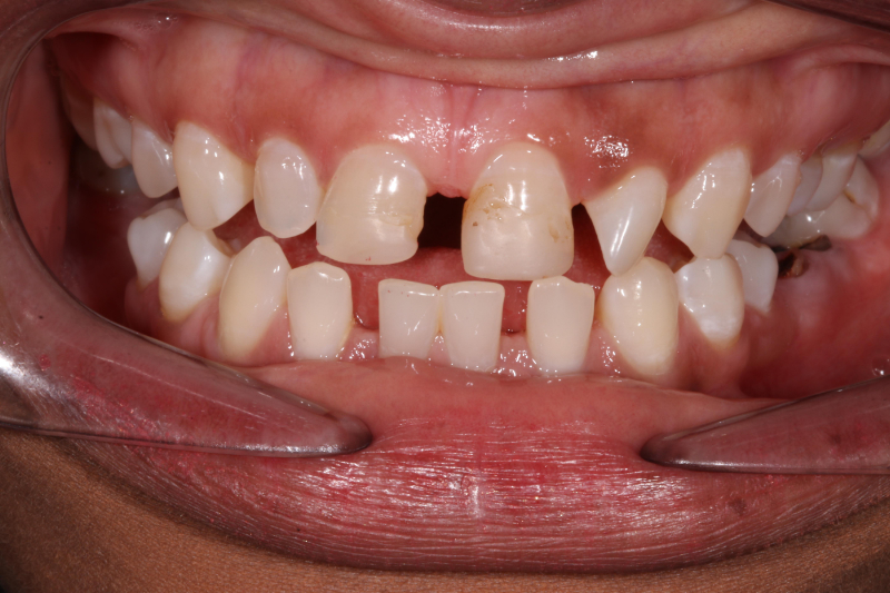
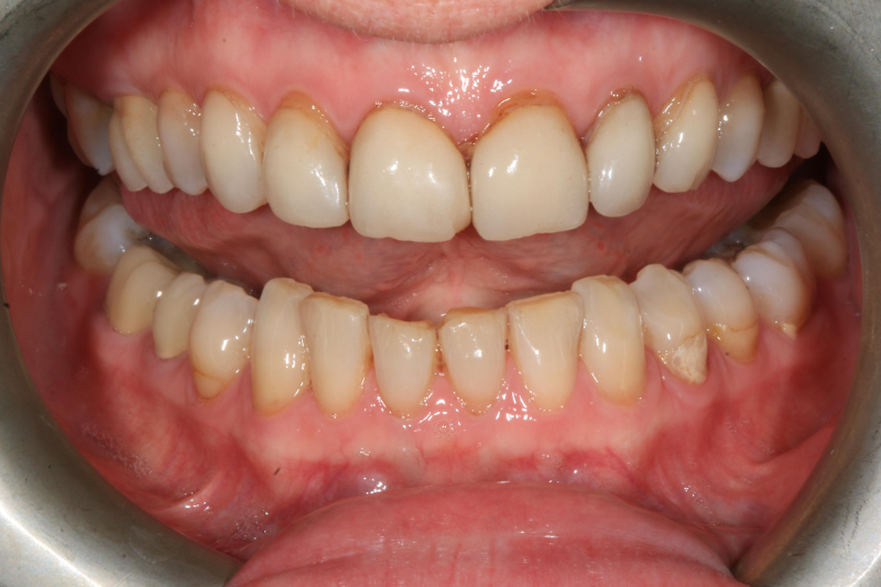
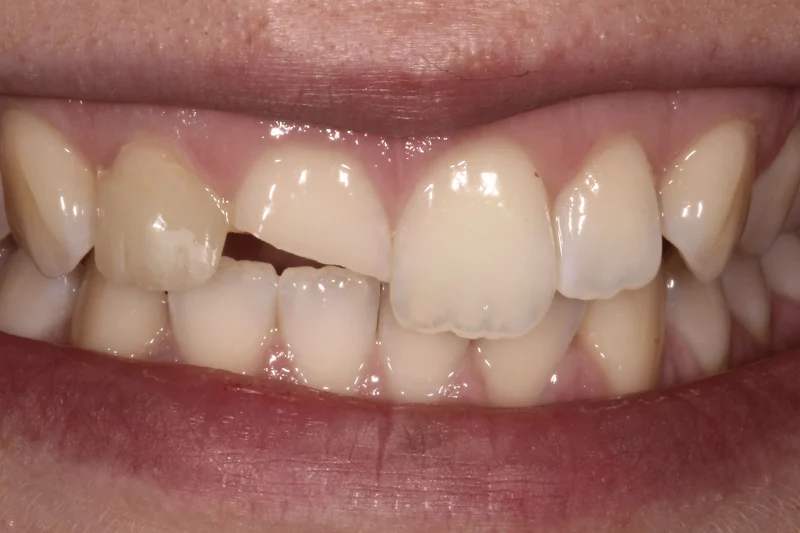
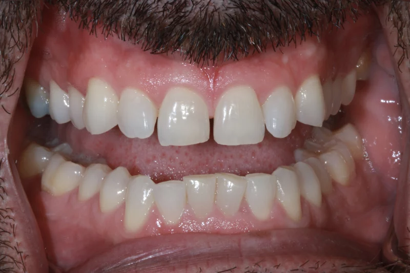
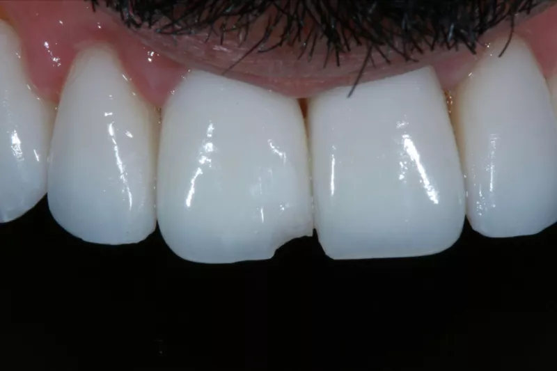
Broken tooth replacement.




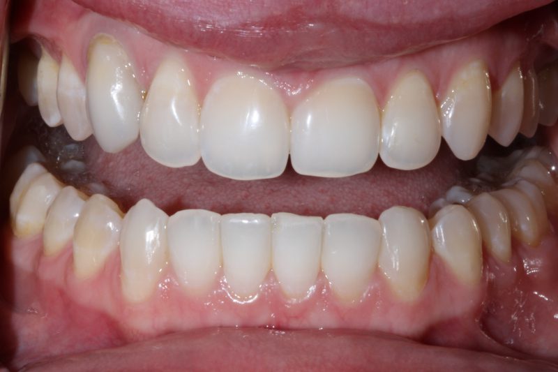
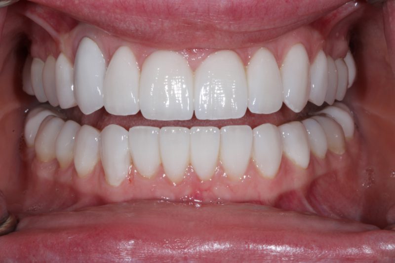
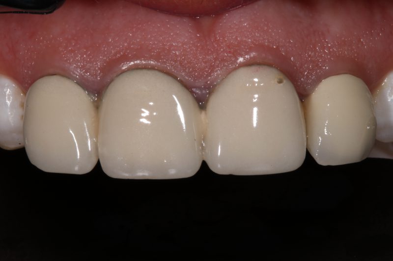
Smile Tranformation. Waterlase laser removal of old units. Hand-made two central crowns and non-cutting veneers.






6 top arch non-cutting veneers


10 minimal prep and non-cutting veneers


Smile Design 24 non cutting veneers
Smile Design 12 min. prep Porcelain Veneers









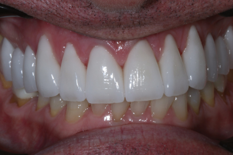
Smile Design top and bottom 20 veneers


6 non-cutting veneers


Smile Design 24 non cutting veneers
Smile Design 10 no prep Porcelain Veneers and one dental implant








10 no-prep veneers and porcelain crowns


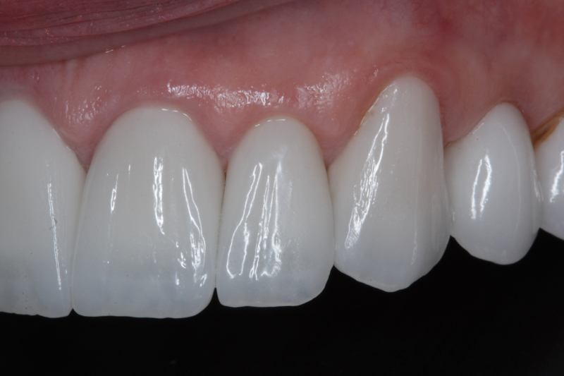
4 upper arch porcelain veneers


6 non-cutting porcelain veneers
Smile Design including Waxup and Mock-up. Invisalign and 23 Porcelain Veneers.






6 non-prep veneers


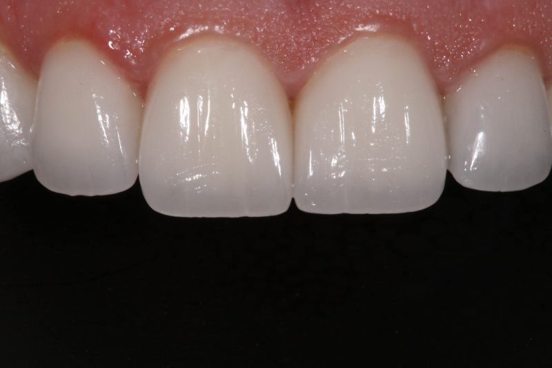
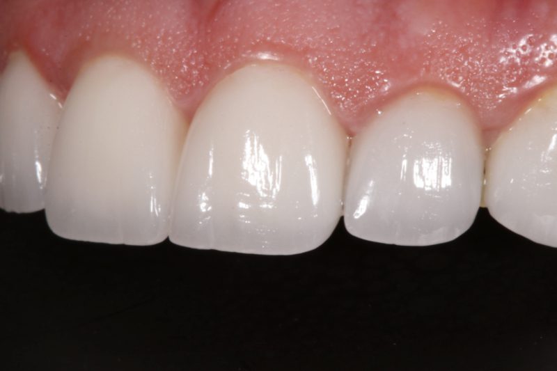
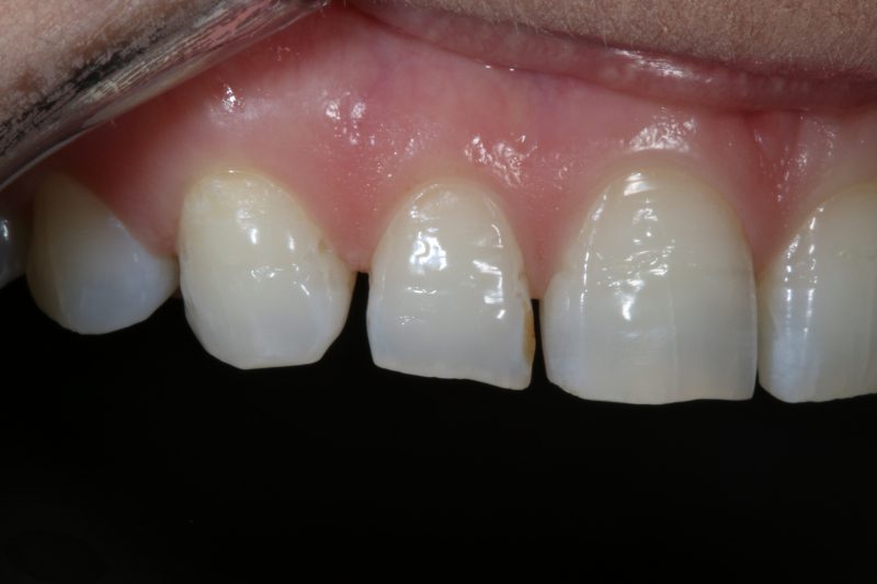
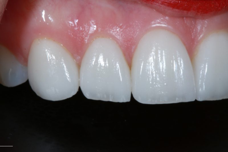
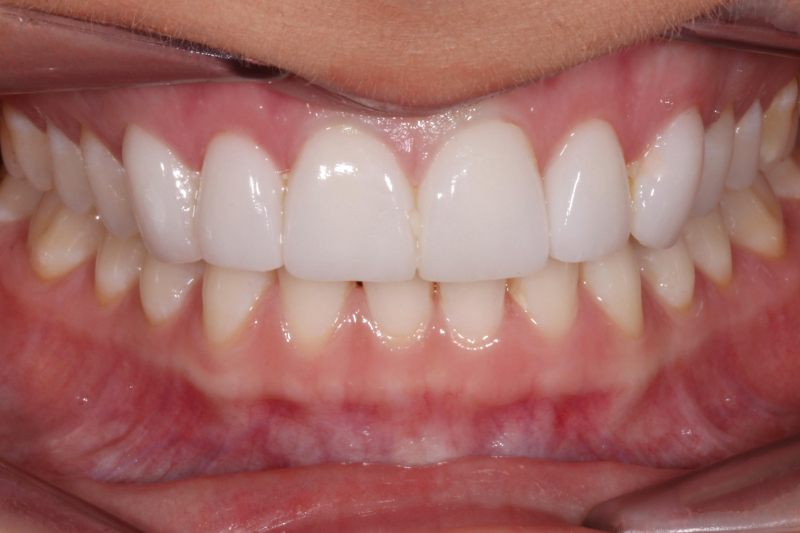
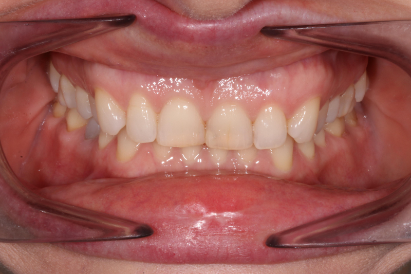
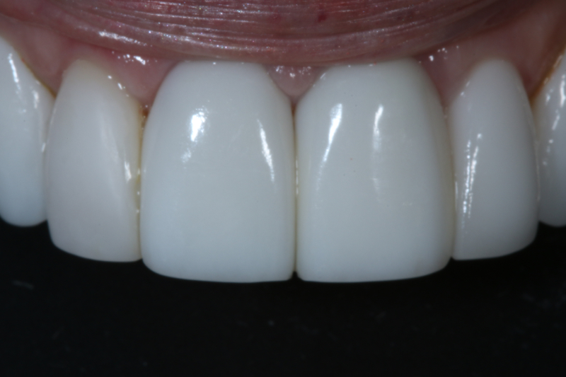
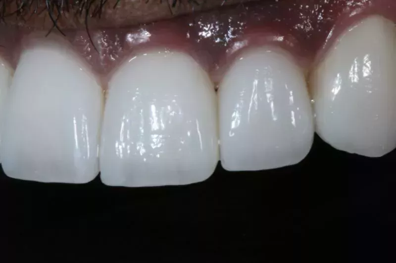
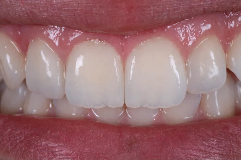
4 central veneers


6 top non-cutting Veneers
Smile Design 20 non-cutting Porcelain Veneers.










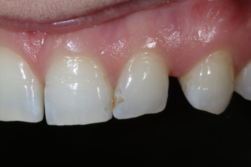
4 upper arch veneers


6 upper arch veneers


Fixed braces and 6 upper arch veneers
Smile Design 12 non-cutting Porcelain Veneers.






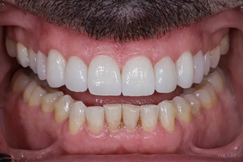
Smile Design. Full mouth porcelain veneers and dental implants









Replacing old units with 6 upper arch veneers












Replacing old units with full upper arch Porcelain Veneers










No matter what dental concern you have, we are here to help.
More before and after cases will be shown to you at the clinic. For regular updates follow our social media channels.