Straighten your teeth without anyone noticing
Have you thought about aligning your teeth? Invisalign might be the best solution for you. At TKC we offer patients all-inclusive dentistry and therefore you will proceed to an alignment treatment only when we are certain that you have no underlying teeth/gum problem. We offer patients the opportunity to get a Clincheck which will enable them to see how their teeth may look after the treatment before they have even started. Invisalign is a preferred alternative to braces because it is nearly invisible, easy to take off while eating, easy to clean and quick to complete.
Invisalign
by UK’s Top Smile Design Dentist Dr Aleem
Invisible
0% Finance
on avg. 3-6 months to complete






Why have Invisalign?

Book Today
FROM SIMPLE TO COMPLEX INVISALIGN TREATMENTS
TKC offers the most popular Invisalign treatments. They are divided into i7(for simple cases), Lite(for complex cases), Comprehensive(for advanced cases) as well as Invisalign Teen (for teenagers). By far, the most common we do is Invisalign Lite which takes in most cases approximately 6 months to complete. Note, the duration of the Invisalign treatment varies, depending on case complexity and greatly on patient’s compliance.
INVISALIGN REFINERS
TKC providers complimentary refiners. Invisalign refiners, refine the teeth. All Invisalign packages i.e. i7, Lite come in a certain set of aligners. for example i7 comes in a set of 7 aligners. In some cases, the patient may require more aligners, which are called refiners. The refiners assist in moving the teeth in the desired position.
EASY TO WEAR, EASY TO FOLLOW INSTRUCTIONS
Invisalign aligners are easy to wear. Your Invisalign pack features individually packed aligners per week. For example i7 comes in 7 packs. You are advised to wear them for min. 20 hours a day. and change them every 7 days or so. You are given thorough instructions by your dentist and treatment coordinator.
INVISALIGN RETAINERS
Retain to maintain your alignment. Retainers are absolutely critical to preserve the position of your newly aligned teeth. Patients get a fixed retainer, which is a tiny wire placed at the back of the teeth. You can barely feel it and it is pretty invisible. No one has complained! On top patients are given removable retainers, much like the aligners, the retainer is of similar material and is worn every night for the first year post Invisalign treatment. Afterwards, it is worn every other night. Patients have a choice between Vivera retainers(Invisalign made) or in-house made. The latter is less sturdy and lasts less.
Scan the QR code or click here to see your B&A

Impressions and digital scans should always be taken by a dental professional
Accuracy is crucial for any aligners’ style treatment

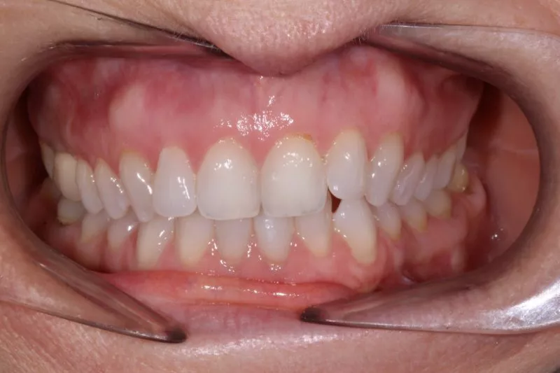
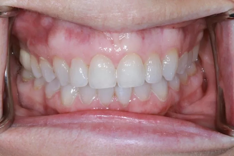
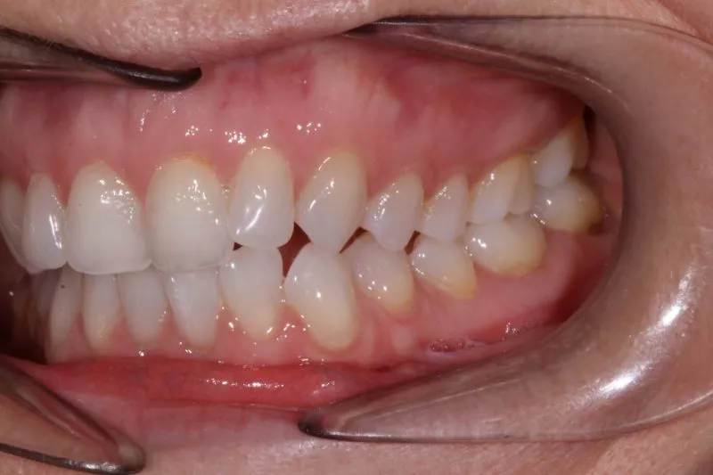
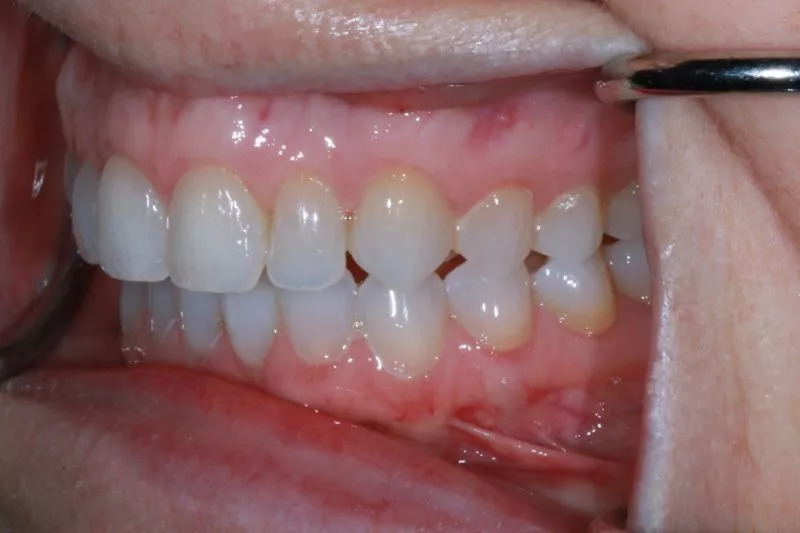
SEE HOW YOUR TEETH MAY LOOK BEFORE YOU HAVE EVEN STARTED A TREATMENT
Clincheck with Itero Scanner, Revolutionary 3D technology
Pain-Free
The most advanced clear aligner system
Essential full examination. Monitored by dentist throughout
Critical x-rays taken
Entirely do it at home treatments can be riskier than you think. Read more here.
In our opinion a full dental examination and prescription should be carried out as per CQC orthodontic guideline
Critical x-rays must be taken to check if you have no hidden gum problems or other potential bone issues, hidden decay, or anything that will compromise your treatment. Aligners should never be placed before a thorough examination and before any issues are solved.
Wear your aligners more, enjoy straighter teeth sooner. On average treatments are completed in 4-6 months.
Some entirely do it home treatments suggest wearing your aligners overnight only. Wearing your aligners overnight slows down the straightening process. We firmly believe this will not deliver results as expected since the aligner treatment relies upon wearing the aligners for a minimum of 20-22 hrs per day.
Orthodontic relapses can cost more, cause complications and a re-treatment may take longer to fix.
Orthodontic relapse is the biggest cause for re-treatments. Most of the cases we see are re-orthodontic treatments. We give patients fixed and removable retainers, we regularly check on how you are and invite you in for essential reviews 6 months after you completed your treatment at no extra cost.
Is Invisalign Better than Traditional Braces. Find out more here.
Clear Invisalign Aligners for Clearly Great Results
Your Journey to straight teeth
Make an impact with your SMILE




What our patients say
I had the veneers replaced on my two front teeth, Invisalign treatment top & bottom arches and teeth whitening was offered at a discount! I was able to pay on a reasonable monthly payment plan that was comfortable for me. The work is truly amazing! I love my new smile, it’s given me my confidence back. I keep getting compliments! Thank you so much to Dr Sheraz and his team at TKC.
Philippa Jones Google Review










