Fixed Braces for Adults and Teens
By UK’s TOP Smile Design Dentist Dr Aleem
The latest systems available
0% Finance. In-House Payment Plans.
Customised treatment
Straighten your teeth with the latest fixed braces’ systems
TKC has been at the forefront of the latest teeth straightening techniques and systems. We offer patients a wide range of solutions from Lingual Braces (Win systems), Labial Braces through to Ceramic Braces and Damon Advanced Bracket Systems. Dr Sheraz Aleem has completed hundreds of fixed braces treatments ranging from simple to complex cases. Quite often patients come to us, because we offer all other cosmetic dentistry treatments at the highest level. In other words, patients are able to have a complete smile make-over with us. We also offer Invisalign treatment, which sometimes is used in combination with fixed braces to straighten the teeth.
MAKE THE FIRST STEP TO STRAIGHT TEETH
Why patients have fixed braces?
Fixed braces are a step by step, monitored solution to straighten teeth. Your doctor is able to adjust your braces as regularly as necessary. The fixed braces do not require patients to take them off to eat or to clean them (unlike Invisalign), which potentially would have resulted in wearing the braces less than necessary.
Is Invisalign Better than Fixed Traditional Braces? Read more here.
Precise Adjustments, Precise Results
During your initial consultation Dr Aleem will perform a full assessment including taking essential x-rays. You will be able to discuss in detail your goals and concerns and see similar cases to yours. Accordingly, he will then propose a custom-made treatment plan. The length of each treatment varies and it is entirely dependent on the complexity of your case. Often fixed braces can be a quicker solution than clear aligners depending on the specifics of your case.
At the end of your treatment you will be provided with fixed and removable retainers. You will be given precise instructions by Dr Aleem and your dedicated treatment coordinator.
Full Assessment
Immaculate Patient Care
Fixed Braces Solutions for Fixed Long-term Results
Your very own journey to your straight teeth
Make an impact with your SMILE






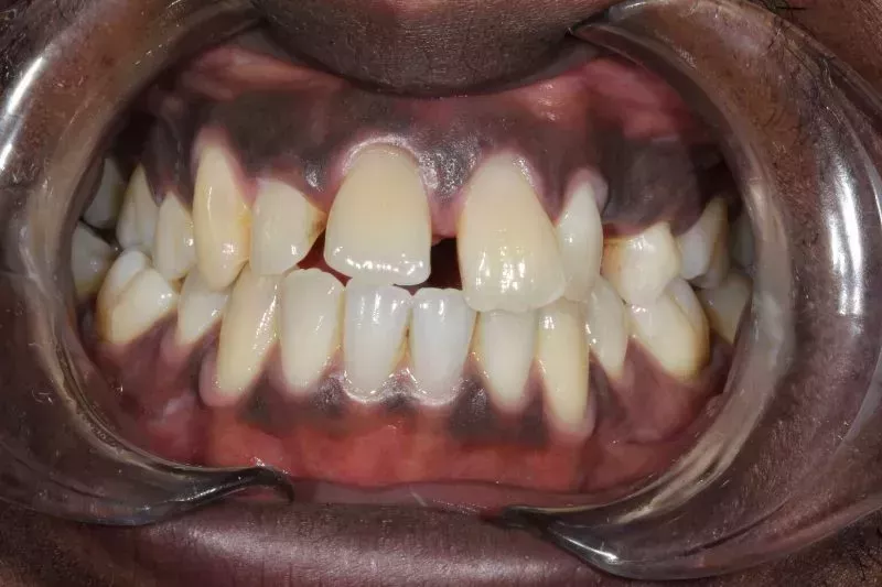
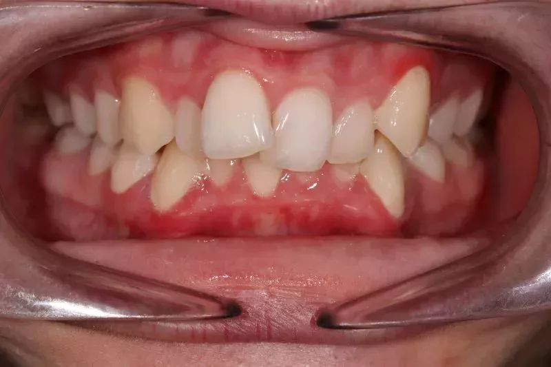
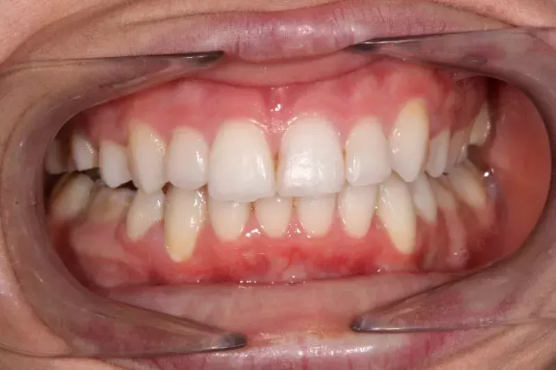
A slightly complicated case, where our patient’s top and bottom teeth were severely crowded. She wore fixed braces for over one year, with regular appointments and precise adjustments, her teeth now are simply stunning. Very natural and beautiful straight teeth.




What our patients say
Great service with very friendly staff. I would definitely recommend.
I had braces for over a year which meant a number of appointments during that time and each one had excellent service, was always on time and enjoyed talking to the staff. As I said, I would highly recommend.
Graham Dix Google Review


