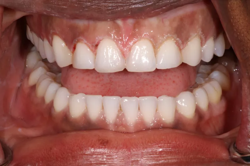
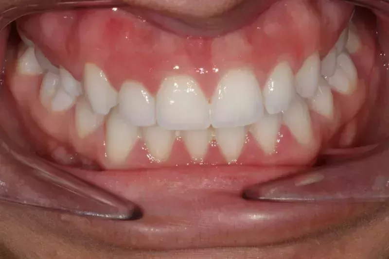
Gum Contour with Waterlase laser
Explore some of the gum contour cases Dr Aleem has completed using the state-of-the-art Waterlase laser. Non-invasive, no pain, no stitches and fast healing times.
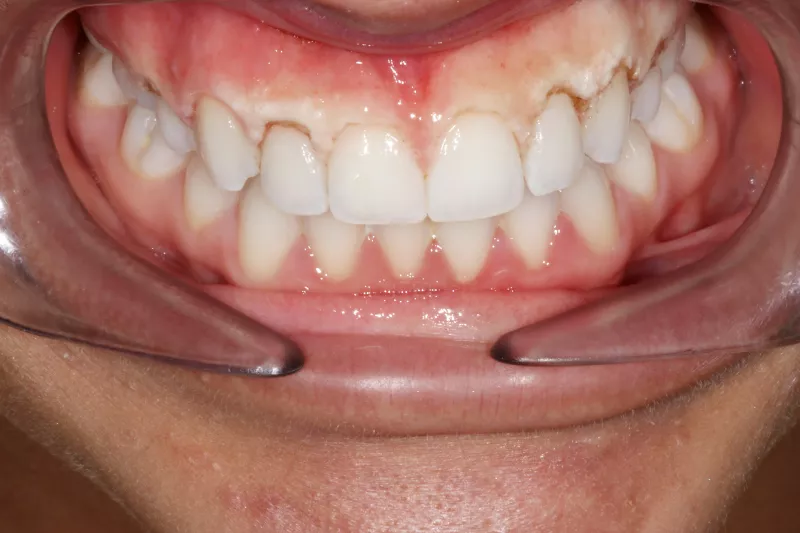
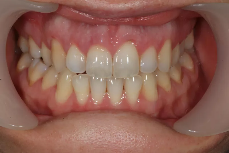
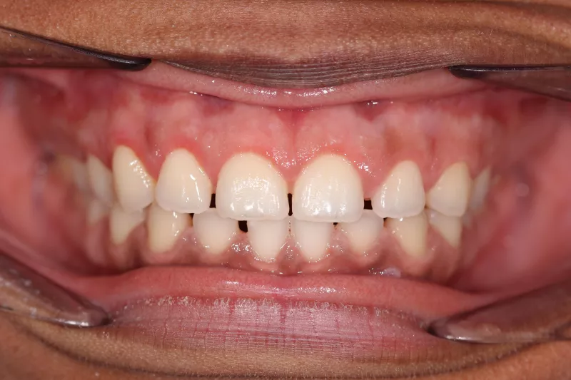
Gum contour and composite bonding
















No matter what dental concern you have, we are here to help.
More before and after cases will be shown to you at the clinic. For regular updates follow our social media channels.

