Dental Implants and Full Mouth/Arch Restoration
Before & After Dental Implants: Transform Your Smile
Discover the life-changing power of dental implants, whether it’s a single implant for a missing tooth or a full-mouth restoration with All-on-4/6 solutions. Witness stunning transformations as patients regain their confidence and achieve radiant, functional smiles. Dental implants not only restore missing teeth but also preserve jawbone health, improve chewing efficiency, and provide a natural look and feel. From single-tooth replacements to full-arch restorations, our advanced techniques ensure long-lasting results tailored to your needs.
“Your smile is an investment”—and with dental implants, you’re investing in a healthier, more confident future. Explore our gallery of before-and-after photos and take the first step toward your perfect smile today.
Full Mouth Restoration with All-on-4 Dental Implants













Full mouth dental implants, upper and bottom arch









Upper Arch, All-on-6 Dental Implants






Full mouth All-on-6 Implants







Full mouth All-on-6 Implants





Full mouth All-on-6 Implants (Pterygoid)





Full arch All-on-6 Implants





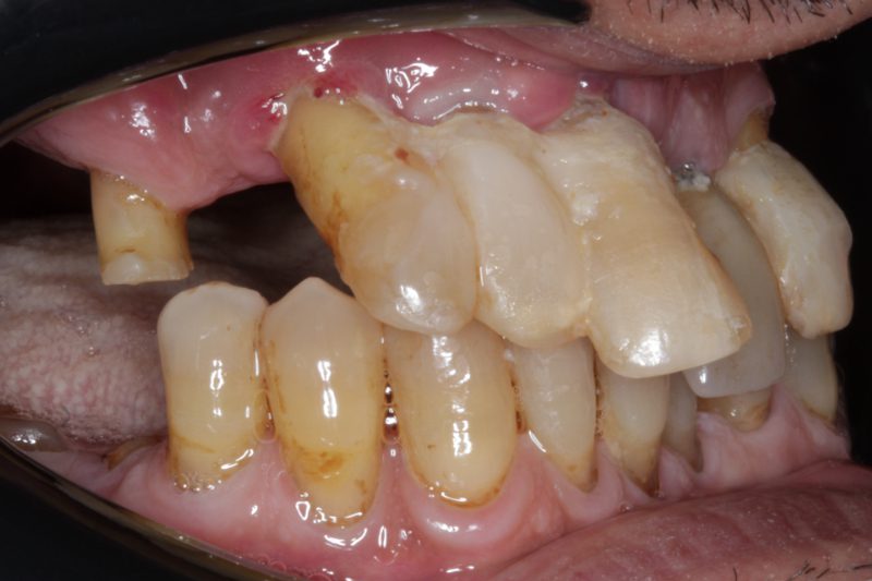
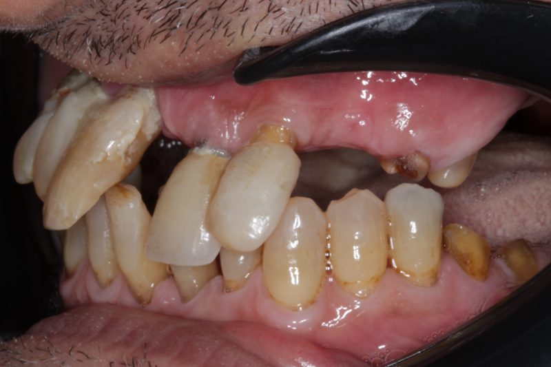
Full mouth restoration


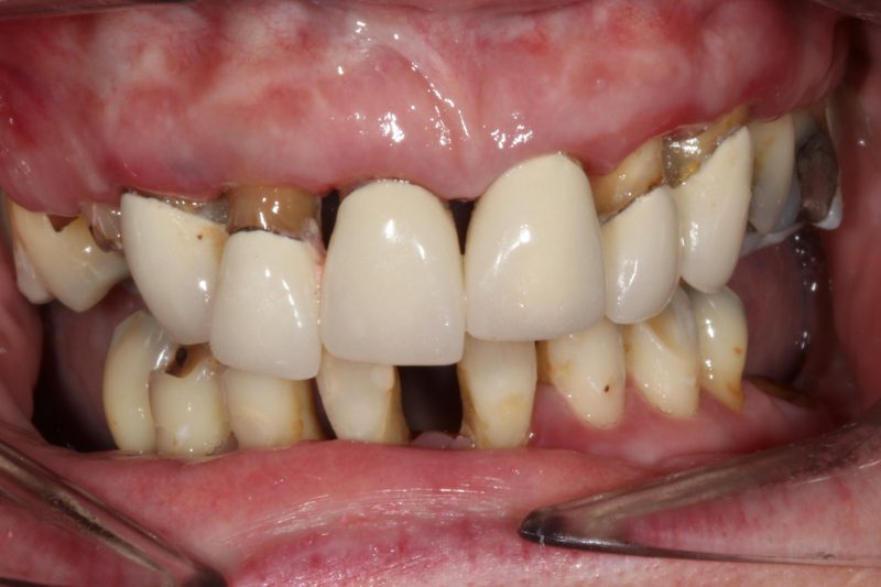
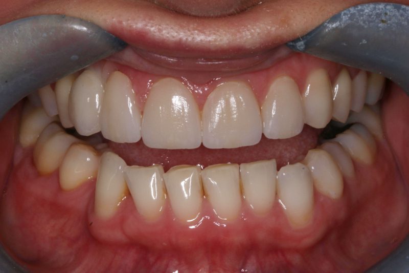
Full mouth restoration


Full arch restoration
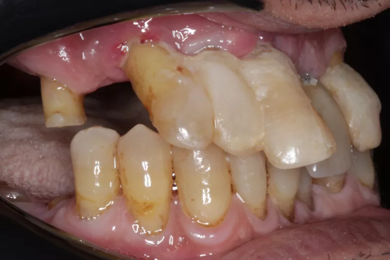
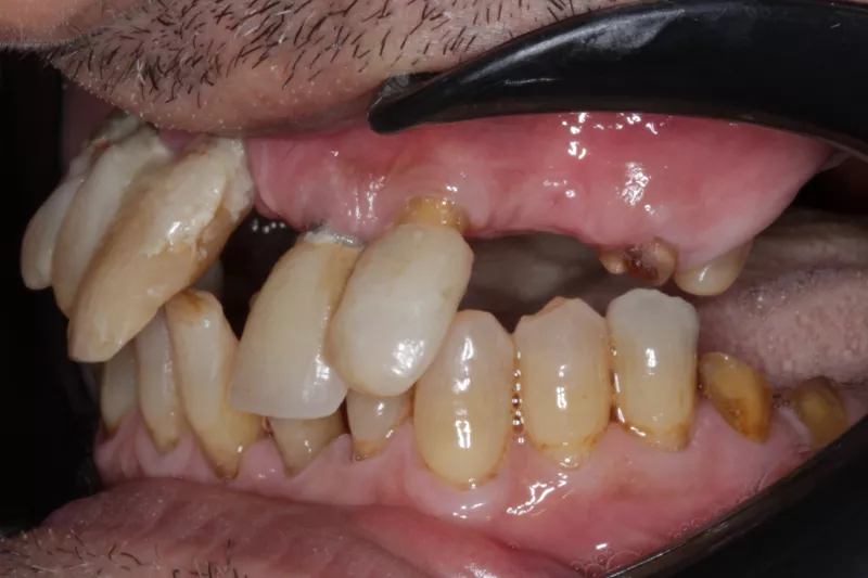
Single Implant, Multiple Implants and Implant Retained Bridge


Combination of veneers and implants


Single Central Implant


Single immediate loading implant


Combination of veneers and implants


Single implant and 2 Cerec crowns


Combination of veneers and implants
No matter what dental concern you have, we are here to help.
More before and after cases will be shown to you at the clinic. For regular updates follow our social media channels.