THE POWER OF COSMETIC BONDING
Transform Your Smile with Composite Bonding
Are you looking to enhance your smile with a quick, affordable, and minimally invasive solution? Composite bonding is the perfect cosmetic dental treatment for repairing chipped, cracked, or discoloured teeth, closing gaps, and reshaping teeth for a more confident smile. Using tooth-coloured resin, composite bonding seamlessly blends with your natural teeth, providing an instant, beautiful transformation.
At TKC Dental we use the latest techniques and high-quality materials to ensure long-lasting results.
YOUR SMILE TRANSFORMED WITH COSMETIC BONDING






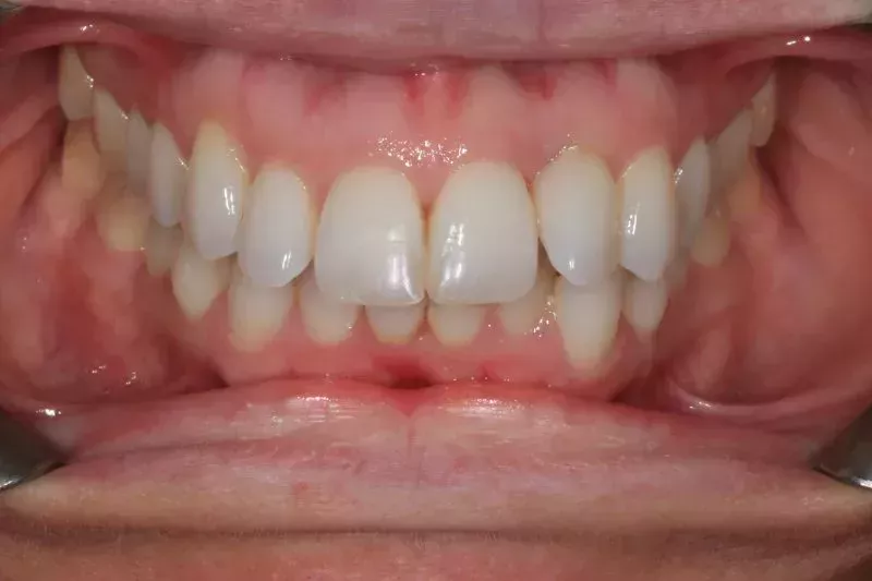
Invisalign Lite and Composite bonding of the upper front four teeth






Composite Bonding Cases.
























No matter what dental concern you have, we are here to help.
More before and after cases will be shown to you at the clinic. For regular updates follow our social media channels.

