Free Clear Aligners Consultation at Our Knightsbridge Clinic
Want straighter teeth without the price tag of Invisalign? Smartee clear aligners deliver the same results using more advanced 3D scanning technology – at a fraction of the cost. Book your free consultation at our Knightsbridge clinic and find out if clear aligners are right for you.
– Book Your Free Smartee Aligner Consultation – with 3D Digital Scan Review– Book Your Free Smartee Aligner Consultation – with 3D Digital Scan Review

Close Unwanted Gaps
Smartee Aligners for Gappy Smiles – Subtle, Effective Results
Gaps between teeth are common, but they can affect how you feel about your smile and even how your bite functions. Clear aligners work by gently guiding your teeth into a more evenly spaced position, gradually closing unwanted gaps over time.
In the example shown, you can see how aligner treatment helped transform spacing into a more balanced, confident smile. This discreet, wire-free option makes a big difference without disrupting your day-to-day life.
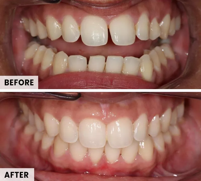
Fix Misaligned Teeth
Straighten Your Teeth with Smartee Aligners
Misaligned teeth can make brushing difficult, affect how you chew, and knock your confidence. Clear aligners offer a discreet, removable way to bring crowded or angled teeth into better alignment—step by step, without brackets or metal.
The example here shows how mild to moderate misalignment can be improved significantly using clear aligners. This approach is tailored, comfortable, and suited to those who want straighter teeth without the look or uncomfortable feel of fixed braces.

Smartee vs Invisalign – Same Results, Smarter Price
Smartee Aligners offer the same advanced clear-aligner results as leading brands, but at a more accessible price point. While Invisalign treatments typically range from £2,750 to £3,950, Smartee packages start from just £1,995, providing a more affordable route to a straighter, natural-looking smile.
With precision 3D digital staging, faster turnaround times, and transparent pricing, Smartee delivers high-quality results without the higher cost.
Invisalign vs Smartee Aligners
Smarter tech. Smaller price tag. Same confident smile.
Invisalign i7 – £2,750
Invisalign Lite – £3,500
Invisalign Full – £3,950
Smartee Mini – £1,995
Smartee Lite – £2,495
Smartee Pro – £3,095
For more information about Invisalign, please visit our Invisalign treatment page.
The Smartee Patient Pathway
Every Smartee treatment follows a clear, structured process designed to make your experience simple, predictable and comfortable. From your initial consultation to long-term retention, each stage supports a smooth progression towards a straighter, more confident smile.

1. Consultation
Meet our dentist for a detailed smile assessment, where your teeth, bite and goals are reviewed. This allows us to determine suitability and create a personalised treatment plan tailored to your needs.

2. Digital Scan
A precise 3D digital scan captures every contour of your teeth without using traditional impressions. This produces an accurate model that forms the foundation for your customised, clinically planned aligner treatment.

3. Begin Alignment
Begin wearing your custom-made clear aligners, designed to guide your teeth into position through steady, controlled movements. Regular progress reviews ensure your treatment remains accurate, comfortable and on track.

4. Maintain
Once treatment is complete, retainers are provided to help maintain your new smile. Consistent wear prevents unwanted movement and protects the long-term stability of your final alignment results.

Why Patients Love Smartee
Smartee Aligners use advanced 3D digital scanning and precise stage-by-stage planning to deliver predictable, natural-looking results. Comfortable, removable, and discreet, they offer a smarter way to straighten teeth without the limitations of fixed braces.
Smartee Aligners guide your teeth into position using carefully planned micro-movements, all while fitting naturally into your day-to-day life. No brackets, no wires, and no lifestyle disruptions.
Frequently Asked Questions
Considering Smartee clear aligners? Here you’ll find answers to the most common questions about Smartee treatment, suitability, comfort, pricing and retainers, so you can plan your smile journey with confidence.
Dr Aleem Introduces Smartee Clear Aligners
In this video, Dr Aleem introduces the Smartee clear aligner system. Smartee uses advanced AI technology to plan your tooth movements with precision, delivering exceptional results for both adults and younger patients. Every case is carefully assessed and digitally mapped, so your treatment plan is tailored to your teeth and your goals.
The team at TKC are actively treating a growing number of aligner cases and are seeing fantastic outcomes in terms of both alignment speed and accuracy. Smartee also offers a dedicated children’s range with fun Marvel character branding, making it a great option for younger patients who need orthodontic treatment.
The team at TKC are actively treating a growing number of aligner cases and seeing fantastic outcomes in both alignment speed and accuracy. Smartee also offers a children’s range with fun Marvel character designs, making it a great option for younger patients who need orthodontic treatment.
Start Your Free Aligners Assessment
If you are considering clear aligners and would like to find out whether they are right for you, complete the short form below. Our team will get back to you promptly to discuss your smile goals and arrange a free consultation at our Knightsbridge clinic.
You can also reach us directly via WhatsApp for a quick response. By sharing a few details and an optional photo of your teeth, our team can begin reviewing your case straight away. No obligation, no pressure – just honest, personalised advice to help you decide.

