Invisalign vs Braces: Comparing Effectiveness, Comfort, and Costs

Making the choice between Invisalign, traditional braces, and lingual braces can feel overwhelming.
With advancements in orthodontic treatments, there are now multiple ways to achieve a straighter, healthier smile—but each option has its own strengths and challenges. Whether you prioritise aesthetics, comfort, treatment speed, or cost, understanding the differences is crucial.
In this comprehensive guide, we’ll explore how these orthodontic solutions compare in key areas like comfort, speed, effectiveness, and costs. We’ll also examine the pros and cons of each, including lesser-known options like ceramic braces and lingual braces, to ensure you have all the information needed to make the best decision for your unique needs. Let’s dive into the details.
Understanding Your Options: Traditional, Lingual, and Invisalign Braces
Orthodontic treatments have evolved significantly over the years, offering a wide range of options tailored to suit various dental needs, lifestyles, and preferences.
Whether you’re looking for a discreet solution, faster treatment times, or the ability to address complex alignment issues, modern orthodontics has something for everyone. Here’s a detailed overview of the most popular options available today:
Traditional Braces
- Made from metal or ceramic brackets attached to the teeth and connected by wires.
- Effective for all types of orthodontic cases, including complex misalignments.
- Ceramic braces are less noticeable than metal braces, as they use tooth-coloured brackets.
Invisalign
- A modern alternative that uses clear, removable plastic aligners.
- Custom-designed for your teeth, providing a discreet and flexible option.
- Ideal for mild to moderate cases but can also address some complex issues with advanced techniques.
Lingual Braces
- Similar to traditional braces but attached to the back of your teeth, making them invisible from the front.
- Provide the same effectiveness as traditional braces while offering a more discreet solution.
- Can be less comfortable initially due to their placement.
Now that you know the basics, let’s break down how these options compare in the most important categories.
Dental Braces vs Invisalign: Key Differences
When comparing dental braces and Invisalign, several factors set them apart:
- Appearance: Traditional braces are noticeable, with metal or ceramic brackets. Invisalign is nearly invisible, making it more appealing for individuals prioritising aesthetics.
- Removability: Invisalign aligners can be removed for eating, brushing, and flossing, while braces remain fixed throughout the treatment.
- Maintenance: Braces require diligent cleaning around wires and brackets. Invisalign allows for regular brushing and flossing but needs careful cleaning of the aligners.
- Suitability: Braces are effective for all cases, including severe misalignments, while Invisalign works best for mild to moderate cases.
Both options have their pros and cons, and a consultation with an orthodontist can help identify which is best for you.
Is Invisalign Better Than Braces?
The question of whether Invisalign is better than braces depends on your needs. Invisalign offers unique benefits, including:
- Discretion: The clear aligners are nearly invisible.
- Comfort: Smooth plastic aligners eliminate the irritation caused by brackets and wires.
- Flexibility: Being removable, Invisalign offers more freedom for eating and oral hygiene.
However, braces are better for certain situations, such as complex cases involving severe crowding or rotations. While Invisalign technology has advanced, it may still require additional tools or attachments for complex treatments.
Is Invisalign Faster Than Braces?
Treatment time varies depending on the complexity of the case. Here’s a comparison:
- Traditional Braces: Typically take 18–36 months, depending on the severity of the alignment issue.
- Invisalign: Can achieve results in as little as 6–18 months for mild to moderate cases. Complex cases may take longer, especially if patients are not diligent about wearing the aligners for 22 hours a day.
- Lingual Braces: Have a similar timeline to traditional braces but may take slightly longer due to more precise customisation.
For faster results, compliance with the orthodontist’s instructions and regular check-ups are essential, especially with Invisalign. This includes wearing the aligners for the recommended 20–22 hours per day, switching to new aligners on schedule, and properly caring for them.
Since Invisalign aligners are removable, the success of the treatment depends largely on following these guidelines consistently. Failure to do so may lead to extended treatment times or less effective results. Regular visits to your orthodontist also help ensure the treatment stays on track.
Lingual Braces vs Invisalign
Both lingual braces and Invisalign are discreet options, but they have distinct differences:
- Aesthetics: Lingual braces are hidden behind the teeth, while Invisalign aligners are clear and removable.
- Comfort: Invisalign is generally more comfortable, as lingual braces may irritate the tongue and temporarily affect speech.
- Effectiveness: Lingual braces are suitable for all cases, including complex ones, while Invisalign may have limitations with severe misalignments.
Both are excellent choices for individuals seeking discreet treatment, and the best option depends on personal preference and orthodontic requirements.
Invisalign Cost vs Braces Cost Comparison
The cost of Invisalign and traditional braces is an important consideration when choosing the right orthodontic treatment. Both options aim to straighten teeth and improve oral health, but their price points can vary based on several factors, including the complexity of your case, treatment length, and additional expenses such as retainers and follow-up appointments.
To help you make an informed decision, let’s take a closer look at how the cost of Invisalign compares to that of traditional braces. Here’s the breakdown:
- Traditional Braces: Metal braces cost around £2,000–£4,500, while ceramic braces range from £2,500–£5,000.
- Invisalign: Costs vary between £1,800 and £4,500, depending on the complexity of the case and the number of aligners needed.
- Lingual Braces: Are the most expensive option, ranging from £3,000 to £7,000 due to their customisation and discreet nature.
It’s important to consult your orthodontist for a detailed cost breakdown and to explore payment plans or insurance coverage options.
Please note: The prices mentioned in this blog post are intended as a general guide for UK patients. Actual fees at TKC Dental may vary. For the most accurate and up-to-date information, please refer to our official pricing page.

Invisalign by TKC Dental

Invisalign by TKC Dental
Final Verdict: Invisalign or Braces?
Choosing between Invisalign and braces depends on your individual needs, lifestyle, and budget. Invisalign is ideal for those who prioritise aesthetics and flexibility, while traditional and lingual braces are better suited for more complex cases. Consulting with an experienced orthodontist is the best way to determine the most suitable option for your smile.
In conclusion, each orthodontic treatment option has its strengths and limitations. Invisalign offers discretion and comfort, while traditional and lingual braces provide proven effectiveness for a wide range of cases. No matter which option you choose, achieving a straighter smile is a rewarding investment in your dental health and confidence.
Begin your orthodontic journey today by scheduling a consultation with TKC Dental Practice. As experts in orthodontics, our highly experienced team is here to guide you through all your options and help you select the perfect treatment tailored to your unique needs. Plus, we offer 0% finance options, making your dream smile more affordable than ever. Contact us now to take the first step toward a confident, beautiful smile!

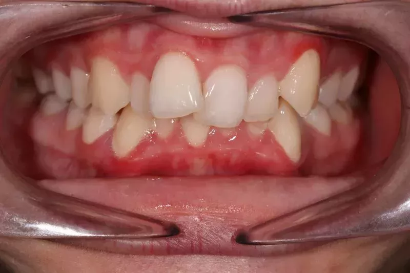
Before – Invisalign

Before – Invisalign

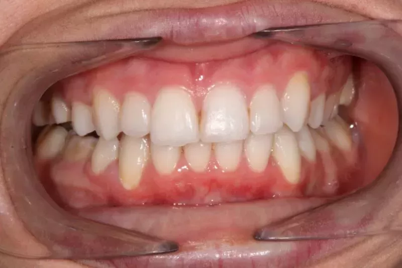
Before – Fixed Braces

After – Fixed Braces

