Full Mouth/Arch Implants v Dentures.
Why All-on-x implants are growing in popularity.

Dr Sheraz Aleem- Celebrity and UK’s leading Cosmetic Dentist explains one of his most popular treatments.
About 15 Million People in the UK wear Dentures
Full Mouth/Arch Dental Implants are growing in popularity with more and more people seeking a permanent, comfortable and aesthetically pleasing solution. In our practice, we can really see the influx of cases. The reasons are predominantly related to the quality of work we provide and the increased interest in well-being by the public. Specifically, post Covid, there has been a significant increase of patients who come to us for a general check-up as opposed to come to us when there is an actual problem i.e. bleeding gums and pain.
It is interesting to note that about 45% of adults suffer from gum disease and about 10% live with the most severe form which can cause tooth loss. A major proportion of our patients who have full mouth/arch implants, are in fact people who have advanced gum disease, often hereditary. In some cases, hereditary gum disease is aggressive and can cause tooth loss at early adulthood. Just in the last few months Dr Aleem treated a few patients in their early thirties. All this information is not to scare anyone, exactly the opposite, to show people that they have a really good option that looks and functions like natural teeth.
To understand why All-on-x implants has become so popular one has to present the differences with dentures. From the most recent statistic, it is evident that in the UK about 6% of adults have no natural teeth and some wear dentures, further 13% wear partial dentures and with the number increasing of people with no natural teeth to 15% for people aged 65-74 and to 23% for people aged 75 and over. This goes to show that the number of people wearing denture is significant when compared to the total population. If we have to use an actual number, other statistics show about 15 million people in the UK who wear dentures. This excludes people with gum disease and people who may be undergoing treatment or postponing a treatment.
What is really the difference
Let’s get back to the difference. The main difference between full mouth implants and dentures is that dentures are not permanent. Dentures are not attached to the jaw. Dentures lack in aesthetics, sturdiness, yet are significantly cheaper. Full Mouth/Arch Implants is essentially implants that are attached to the bone, and therefore providing the utmost sturdiness. Implants act as natural teeth. The treatment does not involve adding implants to each individual missing tooth, but adding precisely placed 4, 5 or 6 implants per jaw. Hence, why the dental term exists: All-on-x implants.
The process of All-on-x implants is certainly more complex than most other dental treatments. Though, the benefits are vast. Once the implants are added, a row of teeth is attached. To expand on this. We would see the patient first, do thorough diagnostics, including CT Scans and discuss and plan the case. The whole time the patient is kept informed. The surgery is booked and the patient will have sedation, so the process is painless. At our clinic we ensure patients are as comfortable as possible, pre, during and after treatment. Relaxation techniques are utilised and highly trained staff members are with patients, as well as a dedicated treatment coordinator. The surgery is done within a day. The surgery involves loading the implants in the desired position, all of this is very cleverly planned.
The way we differ from many others is that at this stage, we provide patients with an immediate temporary solution, which looks pretty good, given it is only temporary, instead of leaving patients without teeth or with poorly looking temporary teeth. We normally allow about 3 months healing period. During this time, we are in constant communication with the patient and when required we see patients in person or via video calls.

Denture

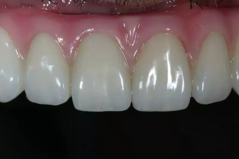
Full Arch Implants by Dr Aleem
The Aesthetic Stage, the main reason why patients come to us
The next stage is the aesthetic stage. It does not require any numbing, because we are simply adding the new set of teeth. The difference between us and others is most prominent at this stage. Dr Sheraz Aleem is predominantly known for his outstanding cosmetic work. Many patients, in fact choose us because of that. We work really quite hard to achieve incredible aesthetic results. The planning involved, the design, the communication itself with our lab is frequent. We must factor in the bite whilst creating a life-like result, we are quite proud that we are one of the very few to offer such high quality outcome. Each tooth on the prosthesis is individually made. This option is hardly found anywhere else. By having individual teeth, we can deliver on stunning natural results and it is a lot more comfortable for patients too.
Good to know
It is important for patients to know that this treatment can be finished with porcelain/ceramic crowns or composite crowns, whereas the latter is less life-like due the material itself. Most often, if we are doing a full mouth case, we would do the top units all ceramic and bottom composite. The reason being is that when the bottom teeth are softer, the friction that is naturally generated while chewing, is simply less, therefore less pressure on the top teeth. Less pressure means more long lasting result.
The life-span of dental implants
How long all-on-x implants last. The life-span can vary, typically 20-30 years. However, the implants that we screw in the bone, may last a life-time, what may require a change is the prosthesis, the teeth themselves. Just like natural teeth, the teeth may wear out and that depends on a variety of factors. The life-span of the implants is dependant on the patient too, lifestyle choices and even so stress levels, oral hygiene. The latter is interesting to point out. You treat your implants like natural teeth, brush twice a day as per the brushing technique advised by your hygienist or/and dentist. In this line, regular attendance as per recommendation to your hygiene appointments is necessary. In contract, dentures can last typically 5-7 years, and they require changing.
What if you are not missing teeth already, would we extract them?
Dr Aleem never extracts healthy teeth, we always aim to preserve the teeth. We have a top expert, a specialist periodontist who would check on patients that have suspected gum disease or gum problems. If possible, we would first attempt to manage the gum disease and improve the gum health. We have state-of-art technology that is hardly found anywhere in the UK. Where not possible, to stop the gum disease from spreading, we take the teeth out. Often in those cases, the teeth roots are so exposed and the teeth are very wobbly.
Follow this advice
You now see that the difference between dentures and full mouth implants is significant. They may appear to serve the purpose of replacing teeth, yet they replace teeth in a completely different way. We have, in fact, seen many people who have worn dentures before they came to us and were simply unhappy with them. If you think about it, having to literally take off your teeth, teeth in your mouth that slip, it is truly uncomfortable. Most people avoid smiling and some even socialising. What we do is truly transformative with all-on-x implants: From haven’t smiled in years, to being proud with their smile. It is truly liberating and it most definitely boosts one’s confidence. For us, the greatest feeling of all is to make a significant positive change in our patients lives.
It is important to mention that some cases might be more complex and require specific dental implants such as Pterygoid implants or/and gum and bone graft. All of which we offer. However, if you are reading this whether for yourself or for someone else, don’t wait, at least get a professional advice by a highly reputable clinician. Don’t evaluate treatments by price. Most often the price difference will indicate the quality you will get. This is a serious treatment, a major investment in one’s health and appearance, cutting corners may result in slightly unpleasant consequences.
We started with talking about the growth in popularity of full mouth/arch implants. People definitely take a better care of their overall health, including dental health. Dental Health at the end is health. If you have gum disease, this is bacteria present in your body. Gum disease is linked to heart disease. If you are missing teeth and have not taken any actions, it may mean that your bone is compromised and therefore your permanent options might be limited. If you have wobbly teeth, bleeding gums, or suffer from hereditary gum disease, do ensure to attend to your appointments. In fact, even if you don’t, why wait until there is an actual problem, attend to your regular hygiene and dentist check-ups and potentially prevent complications.
Watch more videos on our Youtube Channel

