Dental Tourism & Veneers: Avoiding Risks with Proper Research & No-Prep Options

Dental tourism complications are making headlines across the UK as patients return home with botched veneer treatments, damaged teeth, and hefty repair bills.
The consequences can be devastating, from irreversible tooth damage to painful complications requiring extensive corrective treatment. Understanding the risks of dental tourism veneers and knowing what proper research entails could save your teeth, your health, and ultimately your wallet.
The Rise of Dental Tourism & Veneer Complications
Dental tourism veneers have surged in popularity over the past decade, driven by social media influence and the promise of dramatic smile transformations at reduced costs. Countries like Turkey, Hungary, and Mexico have become hotspots for cosmetic dentistry abroad, typically attracting thousands of UK patients annually seeking porcelain veneers at a fraction of domestic prices.
However, the BBC’s recent articles about dental tourism complications reveals a troubling pattern. Many patients return home with damaged teeth, infections, and poorly fitted veneers that often require expensive corrective treatment. The allure of cheap veneers abroad usually masks significant quality and safety concerns that become apparent only after irreversible damage has been done.
Moreover, cosmetic dentistry abroad frequently lacks the rigorous standards and ongoing support that patients expect in the UK. When complications arise-and they often do-patients find themselves without recourse, facing substantial costs to correct botched treatments at home.
Common Risks of Dental Tourism Veneers: What Can Go Wrong
Veneer complications from dental tourism typically fall into several categories. Each category presents potentially serious long-term consequences for your oral health. Understanding these risks is crucial before considering any cosmetic dental procedures abroad.
1) Excessive Tooth Preparation
Over-aggressive drilling to accommodate thick veneers permanently removes protective enamel and exposes dentine. This process weakens teeth and increases sensitivity and restorative risk. Many overseas clinics aggressively shave down healthy teeth without considering long-term consequences. Therefore, patients often require crowns or root canal treatment later to address the damage.
2) Poor-Quality Materials and Fabrication
Low-grade materials and rushed laboratory work can chip, stain or fracture prematurely, shortening restoration life. Cheap porcelain or composite materials used in some dental tourism destinations lack durability. Additionally, they lack the aesthetic quality of premium materials. These inferior veneers often fail within months, necessitating expensive replacement treatments.
3) Inadequate Bite (Occlusion) Assessment
When treatment is compressed into a short trip, careful bite analysis and adjustments are often skipped. Malocclusion can contribute to jaw pain, TMD symptoms and accelerated tooth wear. Proper occlusion requires detailed analysis and adjustment. However, this process cannot be achieved during a brief holiday visit.
4) Rushed Timelines and Limited Aftercare
Compressed travel schedules remove time for provisional phases, healing, and follow-ups that catch early issues. The rushed timeline of dental tourism leaves little room for proper healing. It also provides insufficient time for adjustment periods or addressing complications before patients return home. What appears perfect in the clinic mirror may reveal significant problems once normal function resumes.
Why Proper Research Matters Before Any Veneer Treatment
Thorough research serves as your primary defence against complications, whether seeking treatment domestically or abroad.
Dentist qualifications demand careful scrutiny. In the UK, look for General Dental Council registration and membership in organisations like the British Academy of Cosmetic Dentistry. These credentials typically indicate adherence to professional standards.
Treatment methodology varies significantly between practitioners. Understanding whether your dentist uses conservative approaches affects your treatment outcome dramatically. Research consistently shows that conservative methods preserve more natural tooth structure.
Material quality directly influences veneer longevity and appearance. High-grade feldspathic porcelain generally offers superior durability compared to cheaper alternatives. Ask about specific materials and expected lifespan before committing to treatment.
Prep vs No-Prep Veneers: Understanding Your Options
The distinction between traditional prep veneers and modern no-prep alternatives represents one of the most significant developments in cosmetic dentistry.
Traditional prep veneers require removal of 0.5-2mm of tooth enamel to accommodate the veneer thickness. This irreversible process weakens the natural tooth structure and often necessitates crown replacement if veneers fail. The exposed dentine underneath can cause sensitivity and increase risk of nerve damage.
No-prep veneers preserve the entire natural tooth structure by using ultra-thin porcelain that bonds directly to existing enamel. This conservative approach typically maintains tooth strength, eliminates sensitivity risks, and provides reversibility if circumstances change.
The precision required for no-prep veneers demands exceptional skill and advanced technology. Each veneer must be hand-crafted by master ceramists to achieve the ultra-thin profile necessary for natural appearance without tooth preparation.
According to research published by the American Academy of Cosmetic Dentistry, no-prep veneers generally demonstrate superior longevity, with properly crafted versions lasting 20-25 years when maintained correctly.
Image showing shaved tooth enamel in preparation of veneer installation.
What to Research Before Getting Veneers
Comprehensive research before veneer treatment should follow a systematic approach. This approach evaluates multiple critical factors. This research process protects patients from poor outcomes regardless of treatment location.
Practitioner credentials require thorough verification. Check professional registrations, specialist qualifications, and membership in recognised bodies. Request to see before-and-after portfolios of actual patients, not stock photographs. Additionally, investigate the dentist’s experience with your specific concerns and desired outcomes.
The treatment approach deserves careful consideration. Ask detailed questions about the preparation process, material selection, and expected timeline. Understand whether the treatment is reversible. Moreover, clarify what happens if complications arise. Reputable practitioners welcome these questions and provide comprehensive answers.
These areas help ensure successful treatment outcomes and protect patients from potential complications. Thorough evaluation of each factor contributes to making informed decisions about veneer treatment.
- Professional qualifications and continuing education
- Treatment philosophy and conservative approach
- Material quality and manufacturing process
- Patient testimonials and long-term outcomes
- Aftercare provisions and complication management
- Warranty terms and replacement policies
Payment structure also deserves attention. Be wary of pressure for immediate payment. Similarly, avoid unusually low prices that seem too good to be true. Quality veneer treatment requires significant investment in materials, technology, and expertise. Prices significantly below market rates often indicate compromised quality.
The TKC Difference: Ethical, Expert No-Prep Veneer Treatment
TKC Dental Practice has established itself as the premier destination for ethical veneer treatment in London, attracting patients who prioritise quality and safety over quick fixes or bargain prices.
The ethical foundation centres on informed consent and conservative treatment planning. Every patient receives comprehensive consultation explaining all options before any treatment begins. This transparency ensures patients make fully informed decisions with complete peace of mind.
Expert craftsmanship distinguishes TKC’s approach. The collaboration between Dr Aleem’s clinical expertise and Craig Galbraith’s master ceramist skills creates veneers that are truly works of art. Each veneer receives individual attention with hand-layering techniques.
The non-invasive philosophy eliminates many risks associated with traditional veneer treatment. By preserving natural tooth structure, TKC’s approach typically maintains tooth vitality and eliminates sensitivity. This is the ultimate testament to quality craftsmanship.
International patients particularly value TKC’s comprehensive approach, which includes detailed planning, precise execution, and thorough aftercare. Unlike dental tourism, TKC allows proper healing periods and adjustment visits.
Financial accessibility doesn’t require compromising quality. TKC offers flexible payment plans that make premium treatment achievable without the risks associated with budget dental tourism.

Frequently Asked Questions – Dental Tourism & Getting Veneers Abroad
Thinking about getting dental veneers abroad? This section addresses common questions about travelling for treatment, potential risks, and aftercare challenges – helping you make an informed and confident decision before committing to overseas dental work.
Your Smile, Your Choice: Final Thoughts
The recent spotlight on dental tourism complications serves as a crucial reminder that veneer treatment requires careful consideration, thorough research, and selection of qualified practitioners committed to conservative approaches. While the appeal of overseas treatment may seem attractive, the risks often outweigh potential savings when complications arise, and they frequently do.
Understanding the difference between traditional prep veneers and modern no-prep alternatives empowers patients to make informed decisions about their treatment. The preservation of natural tooth structure through no-prep techniques offers significant advantages in terms of longevity, comfort, and oral health maintenance. These benefits typically justify the investment.
Key takeaways from this comprehensive analysis include these essential points:
- Dental tourism veneers carry significant risks including excessive tooth preparation and poor material quality
- Proper research encompasses practitioner credentials, treatment methodology, and material selection-it’s time well spent
- No-prep veneers preserve natural tooth structure while delivering superior aesthetics and longevity
- Expert craftsmanship and conservative approaches significantly improve treatment outcomes
- Quality veneer treatment represents a long-term investment in oral health and aesthetics
For patients considering veneer treatment, the emphasis should remain on finding practitioners who prioritise tooth preservation, use premium materials, and provide comprehensive patient education. The short-term savings of dental tourism pale in comparison to the potential costs of corrective treatment when complications arise. Often this leaves patients worse off than when they started.
Taking time to research properly, understanding treatment options, and selecting ethical practitioners committed to conservative approaches ensures the best possible outcomes for your smile transformation journey. After all, you only get one set of natural teeth-they’re worth protecting.
Why Choose TKC Dental Practice for Your Smile Transformation?
TKC Dental Practice stands as London’s leading destination for ethical, expert no-prep veneer treatment. Dr Sheraz Aleem’s 30 years of experience in cosmetic dentistry, combined with master ceramist Craig Galbraith’s world-renowned craftsmanship, delivers unparalleled results that prioritise your long-term oral health.
Our commitment to conservative, non-invasive treatment means you receive beautiful, natural-looking veneers without damaging your healthy teeth. With interest-free finance options available and consistently outstanding patient reviews, TKC makes premium dental care accessible to patients who demand the very best.

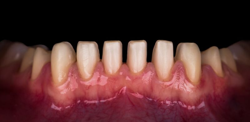
Before – No Prep Veneers

After – No Prep Veneers


