Gum Contour
By UK’s Leading Cosmetic Dentist Dr Aleem
Fast healing time
Pain-Free
No stitches required
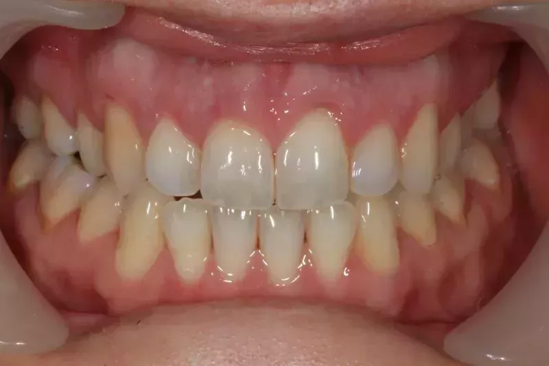
Gum Contour is one of the most popular treatments which Dr Aleem regularly performs. TKC only uses the most advanced technologies to provide patients with an effective and efficient procedure. Gum contour is a fast-healing treatment where the gum is lifted using a laser to laser the gum back. In this way, we expose more of the natural teeth, and provide symmetrical gum line. You may already have beautiful teeth, why hide them, a simple procedure like gum contour can make such a big and positive difference.
One of the few clinics offering state-of-the-art Waterlase laser treatment
Who is suitable?

Book Today
Show your natural teeth with a precise gum lift

Process and Duration
The treatment can involve multiple different aetiologies. After a thorough examination using the Global Diagnosis Protocol a treatment plan is provided. The plan may include a Waterlase treatment for crown lengthening(gum contour) that has very fast healing times because it is a laser treatment. Most cases require a single appointment to complete the gum contour treatment. The process is minimally invasive and is performed under local aesthetic. The laser is used to laser the gum back. The key during this treatment is the dentist. Dr Sheraz Aleem has a wealth of experience in cosmetic dentistry and in laser dentistry. Therefore, we are able to provide patients with a gum contour treatment that is precise and aesthetically considerate.
Recovery time
Since we use the latest technology, no stitches are needed and thus so we are able provide our patients with a smooth post treatment recovery. It normally takes a week to heal. However, on average most patients feel completely fine in about 3 days after the gum contour.
Your TKC Journey
Make an impact with your after SMILE




What our patients say
I first met Dr, Aleem at TKC back in 2018, it’s been an amazing journey. He went through the most practical way to solve my teeth issues. My teeth are now more than perfect and I would trust him, and TKC again and again. I am still a patient there because I simply love the service though it’s not anywhere near my home. I would highly recommend the practice, everyone here is simply amazing here. Kudos for the amazing service, guys!
Surender Kaur Google Review

