Braces Cost in the UK (2025): Complete Price & Treatment Guide

Getting braces can be life-changing, and understanding the cost of braces is an essential first step.
If you’re considering braces, one of the first questions that comes to mind is cost. Prices can vary depending on the type of treatment and where you’re based. This guide takes you through braces cost in the UK, the different types of orthodontic treatment, and what to expect when budgeting for braces.
With more adults than ever seeking orthodontic treatment, it’s important to understand both your financial and clinical options. Whether you’re considering clear aligners or fixed braces, this guide will help you compare providers, understand what drives pricing, and prepare for your next step. You’ll gain practical insights into what to expect, and how to get started with clarity and confidence.
How Much Do Braces Cost in the UK?
The average cost of braces in the UK usually falls between £1,800 and £6,200. The final price depends on factors such as the type of braces, whether one or both arches are being treated, and the complexity of tooth movement.
In general, here’s what you can expect to pay in 2025:
Single arch braces cost: £1,800–£3,200
Dual arch braces cost: £3,500–£6,200
This range provides a useful benchmark, though your orthodontist will give you a more accurate quote after assessing your needs.
Types of Braces and Their Costs UK
Different types of braces and cost options suit different needs and budgets. Understanding the options helps you compare not only prices but also aesthetics and comfort:
| Type of Braces | Typical Cost (Single Arch) | Typical Cost (Dual Arch) |
|---|---|---|
| Metal Braces | £2,200 | £4,200 |
| Ceramic Braces | £2,500 | £4,500 |
| Damon Ceramic Braces | £2,800 | £4,750 |
| Lingual Braces (hidden) | £3,200 | £6,200 |
| Invisalign I7 | £1,800 | £2,750 |
| Invisalign Lite | £2,500 | £3,500 |
| Invisalign Full | – | £3,950 |
| Teen Braces (dual arch labial) | – | £3,450 |
| Teen Invisalign Full (dual arch) | – | £3,450 |
- Metal Braces Cost: The most affordable and reliable option.
- Ceramic Braces Cost: Tooth-coloured brackets for a more discreet look.
- Lingual Braces Cost: Fixed to the back of the teeth for complete invisibility.
- Invisalign Braces Cost: Clear, removable trays that are especially popular with adults and teens.
- Clear Braces Cost: Usually refers to ceramic or aligner systems, starting from £2,500.
Each type balances cost with appearance and comfort, so the right choice depends on your personal goals.
NHS Braces Cost UK vs Private Braces Cost
The cost of orthodontic braces also depends on whether you are eligible for NHS funding or need to go private:
NHS braces cost (under 18s): Free if the treatment is considered medically necessary, based on the Index of Orthodontic Treatment Need (IOTN).
NHS braces cost (over 18s): Rarely available, usually only for severe surgical cases.
Private braces cost: Available for both adults and children, with quicker access, wider choice of brace types, and flexible finance options.
This means most adults and many children who do not meet NHS criteria will need to consider private orthodontic treatment.

Factors That Affect Orthodontic Braces Cost
It’s not just the type of braces that determines the price. Several other factors can raise or lower your overall orthodontist braces treatment cost:
- Complexity of the case: More severe misalignment usually requires longer treatment and higher fees.
- Treatment duration: Most braces are worn for 12–24 months, with costs rising for longer treatments.
- Retainers cost: From £150–£600 depending on type and whether single or dual arch.
- Emergency visits or repairs: Replacing brackets or aligners can add to the total.
- Hygiene and follow-up care: Regular check-ups help track progress and maintain oral health during treatment.
Being aware of these additional elements will help you budget more accurately.
Adult Braces Cost vs Children’s Braces Cost
Braces are available to both adults and children, but costs can vary:
- Adult braces cost: Usually £3,000–£6,200, particularly for ceramic, lingual, or invisible aligners.
- Adult braces cost (NHS): Only available in very rare surgical cases.
- Children’s braces cost (private): Between £2,000 and £4,500 depending on brace type.
- Children’s braces cost (NHS): Free when treatment is medically necessary.
Adults often prioritise discreet systems like Invisalign or lingual braces, which explains the higher price range.
Braces Cost London vs Rest of UK
Many people assume that braces cost London is significantly higher, but prices are generally consistent with the rest of the UK. The main factors influencing cost are the type of braces chosen and the complexity of treatment, not the location.
That said, London practices often provide added benefits such as flexible appointment times, access to advanced technology, and a wider choice of systems. While these advantages improve convenience and treatment options, they don’t necessarily drive costs higher compared with other regions.
Monthly Finance Options For Braces
Orthodontic care can be a significant investment, but flexible payment options make it far more manageable. Many clinics now provide structured finance packages, including:
- 0% interest plans (6–12 months)
- Low-interest finance (up to 36 months)
- Deposit + staged payments
- Discounts for upfront payments
Some patients also consider personal loans or credit cards with promotional interest-free offers. Whatever option you choose, it’s important to check the terms carefully to ensure they fit your budget and circumstances.
At TKC Dental, we make treatment more accessible with tailored finance packages starting from 0% interest, helping patients spread the monthly cost of braces with confidence.

Frequently Asked Questions About Cost of Braces
Thinking about getting dental braces? This section answers common questions about the procedure, and material options – helping you feel informed, reassured, and ready to make the right choice for your smile.
Making the Choice: Start Your Braces Journey Today
Investing in braces is a decision that has lasting benefits beyond improving the look of your smile. Orthodontic treatment can enhance oral health, prevent future dental problems, and give you greater confidence in your everyday life.
In this guide, we’ve explained the key factors that affect braces costs in the UK, from brace types and treatment complexity to NHS eligibility and private finance options. Whether you are considering traditional metal braces or discreet choices such as ceramic, lingual, or clear aligners, there is a solution to suit different needs and budgets.
Taking time to compare your options, understand payment plans, and plan ahead will help you feel more confident when starting treatment. While braces represent a significant investment, the improvements in health, function, and self-esteem make them highly worthwhile.

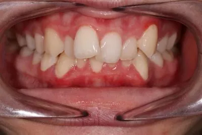
Before – Dental Braces

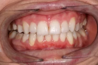
After – Dental Braces